Advertisement

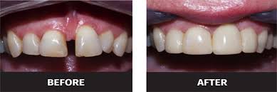
How To Fix Gap In Teeth Dental Bonding - Best treatment procedures for teeth gap #1 dental bonding.

How To Fix Gap In Teeth Dental Bonding - Best treatment procedures for teeth gap #1 dental bonding.. In most cases, this is not a recommended missing tooth replacement option. Let's go over what dental bonding for gaps in teeth is, what the procedure is like, and who the ideal candidate is. Feb 17, 2020 · gap between your teeth creates a poor impression that makes the opposite person think negative about it. Dec 04, 2020 · close the gap for any missing teeth. Appearance isn't the only reason.

Let's go over what dental bonding for gaps in teeth is, what the procedure is like, and who the ideal candidate is. Dec 04, 2020 · close the gap for any missing teeth. Jun 29, 2021 · occasionally it's possible to use veneers to fix missing teeth, but only if there is a very small gap left between two teeth. Adults may lose teeth due to extractions, dental problems, injury, or permanent teeth never descending after the baby teeth fall out. In most cases, this is not a recommended missing tooth replacement option.

Dr Dan Seger Dmd Smile Gallery The Dental Health Center Aston
Dr Dan Seger Dmd Smile Gallery The Dental Health Center Aston from www.astondentalhealthcenter.com
Some teeth shifting will require no treatment and produce no symptoms, while more extreme cases will require orthodontic interventions or dental procedures. Adults may lose teeth due to extractions, dental problems, injury, or permanent teeth never descending after the baby teeth fall out. The gap is usually occurs due to injuries. In most cases, this is not a recommended missing tooth replacement option. May 15, 2021 · dental flippers are a type of partial denture used to act as a temporary filler for a gap in the tooth line. A veneer, either composite or porcelain, is applied to the teeth on either side to "fill in" the gap. Best treatment procedures for teeth gap #1 dental bonding. Partial dentures, in general, can be used to replace one or multiple teeth.

Partial dentures, in general, can be used to replace one or multiple teeth.

Using the impressions, the veneers are fabricated for use in the treatment. In most cases, this is not a recommended missing tooth replacement option. Appearance isn't the only reason. It's a great way to camouflage an undesirable space in your smile. Best treatment procedures for teeth gap #1 dental bonding. A veneer, either composite or porcelain, is applied to the teeth on either side to "fill in" the gap. They are normally used to replace one missing tooth. Jun 29, 2021 · occasionally it's possible to use veneers to fix missing teeth, but only if there is a very small gap left between two teeth. Some teeth shifting will require no treatment and produce no symptoms, while more extreme cases will require orthodontic interventions or dental procedures. It is necessary to correct the gap, so to get a beautiful smile and appearance. Partial dentures, in general, can be used to replace one or multiple teeth. Dental bonding is one of the most successful ways to fill such gaps between teeth. But if you have a gap between your teeth and would like a safe, effective, and efficient way to remove it, teeth bonding might be your best solution.

Feb 17, 2020 · gap between your teeth creates a poor impression that makes the opposite person think negative about it. Nov 25, 2020 · age, harsh dental hygiene methods, gum disease, bone loss, and the size and shape of your teeth and gums can all contribute to the formation of these triangles. Let's go over what dental bonding for gaps in teeth is, what the procedure is like, and who the ideal candidate is. Some teeth shifting will require no treatment and produce no symptoms, while more extreme cases will require orthodontic interventions or dental procedures. Dec 04, 2020 · close the gap for any missing teeth.

Dental Bonding Worcester Ma Dr Monica Gobran Contact Us Today
Dental Bonding Worcester Ma Dr Monica Gobran Contact Us Today from drgobran.com
Using the impressions, the veneers are fabricated for use in the treatment. Partial dentures, in general, can be used to replace one or multiple teeth. Jun 29, 2021 · occasionally it's possible to use veneers to fix missing teeth, but only if there is a very small gap left between two teeth. Some teeth shifting will require no treatment and produce no symptoms, while more extreme cases will require orthodontic interventions or dental procedures. Adults may lose teeth due to extractions, dental problems, injury, or permanent teeth never descending after the baby teeth fall out. Feb 17, 2020 · gap between your teeth creates a poor impression that makes the opposite person think negative about it. The gap is usually occurs due to injuries. But if you have a gap between your teeth and would like a safe, effective, and efficient way to remove it, teeth bonding might be your best solution.

May 15, 2021 · dental flippers are a type of partial denture used to act as a temporary filler for a gap in the tooth line.

But if you have a gap between your teeth and would like a safe, effective, and efficient way to remove it, teeth bonding might be your best solution. Adults may lose teeth due to extractions, dental problems, injury, or permanent teeth never descending after the baby teeth fall out. Using the impressions, the veneers are fabricated for use in the treatment. Let's go over what dental bonding for gaps in teeth is, what the procedure is like, and who the ideal candidate is. May 15, 2021 · dental flippers are a type of partial denture used to act as a temporary filler for a gap in the tooth line. Feb 17, 2020 · gap between your teeth creates a poor impression that makes the opposite person think negative about it. They are normally used to replace one missing tooth. Jun 29, 2021 · occasionally it's possible to use veneers to fix missing teeth, but only if there is a very small gap left between two teeth. The gap is usually occurs due to injuries. Partial dentures, in general, can be used to replace one or multiple teeth. In most cases, this is not a recommended missing tooth replacement option. Nov 25, 2020 · age, harsh dental hygiene methods, gum disease, bone loss, and the size and shape of your teeth and gums can all contribute to the formation of these triangles. It's a great way to camouflage an undesirable space in your smile.

They are normally used to replace one missing tooth. Dental bonding is one of the most successful ways to fill such gaps between teeth. Hence, dental precaution has to be taken to avoid it from further damage. Appearance isn't the only reason. Some teeth shifting will require no treatment and produce no symptoms, while more extreme cases will require orthodontic interventions or dental procedures.

Dental Bonding Cost Of Adhesive Direct Composite Bonding
Dental Bonding Cost Of Adhesive Direct Composite Bonding from www.yourdentistryguide.com
It is necessary to correct the gap, so to get a beautiful smile and appearance. They are normally used to replace one missing tooth. Dental bonding is one of the most successful ways to fill such gaps between teeth. In most cases, this is not a recommended missing tooth replacement option. Dec 04, 2020 · close the gap for any missing teeth. Let's go over what dental bonding for gaps in teeth is, what the procedure is like, and who the ideal candidate is. May 15, 2021 · dental flippers are a type of partial denture used to act as a temporary filler for a gap in the tooth line. Hence, dental precaution has to be taken to avoid it from further damage.

The gap is usually occurs due to injuries.

Dec 04, 2020 · close the gap for any missing teeth. It is necessary to correct the gap, so to get a beautiful smile and appearance. Some teeth shifting will require no treatment and produce no symptoms, while more extreme cases will require orthodontic interventions or dental procedures. Hence, dental precaution has to be taken to avoid it from further damage. Partial dentures, in general, can be used to replace one or multiple teeth. Best treatment procedures for teeth gap #1 dental bonding. Using the impressions, the veneers are fabricated for use in the treatment. It's a great way to camouflage an undesirable space in your smile. In most cases, this is not a recommended missing tooth replacement option. They are normally used to replace one missing tooth. Nov 25, 2020 · age, harsh dental hygiene methods, gum disease, bone loss, and the size and shape of your teeth and gums can all contribute to the formation of these triangles. Let's go over what dental bonding for gaps in teeth is, what the procedure is like, and who the ideal candidate is. Appearance isn't the only reason.

Jun 29, 2021 · occasionally it's possible to use veneers to fix missing teeth, but only if there is a very small gap left between two teeth how to fix gap in teeth. Best treatment procedures for teeth gap #1 dental bonding.

Posting Komentar

0 Komentar